“When you have no teeth at all, what treatment options are available?”
(Full-arch edentulous condition Songdo, Incheon)
“Ever since I lost all my teeth, eating and speaking have become extremely uncomfortable.”
In a full-arch edentulous condition, everyday functions such as eating, speaking,
and even facial expressions can be significantly restricted.
Conventional dentures that rely solely on the gums often move easily, create a foreign-body sensation,
and feel unstable, making them difficult to use comfortably.
When teeth have been missing for a long period of time, additional changes may occur
— such as gradual bone resorption or maxillary sinus expansion —
which can make prosthetic planning challenging without further treatment.
In these cases, rather than simply fabricating a denture, a comprehensive treatment plan is required.
This includes assessing:
- The quantity and shape of the remaining bone
- The positions of the nerve canal and maxillary sinus
- The relationship between the lips and teeth
- The occlusal plane and other anatomical and functional factors

※ To help with accurate understanding, an actual clinical case is presented below.
“I was born with weak teeth, so I eventually lost all of them…”
This patient currently lives in Australia and first contacted us through our KakaoTalk channel to ask whether treatment could be completed during a short visit to Korea.
They did not specifically request an “overdenture” from the beginning; rather, they visited the clinic to discuss which treatment options would be feasible based on their current oral condition.

The patient had already completed full upper and lower extractions in Australia and
brought the CT scans and diagnostic records taken there when visiting Korea.

The panoramic radiograph confirmed a fully edentulous state in both the maxilla and mandible,
with all teeth already extracted.
The patient had previously tried using temporary dentures in Australia,
but they moved easily and lacked stability, causing significant discomfort in daily life.
Additionally, because the patient resides overseas and would need to travel
between Korea and Australia throughout the treatment process,

it was necessary to create a plan that considered the treatment scope,
healing periods, and required visit intervals.

After the extractions, the gums and surrounding tissues had sufficiently stabilized.
In the maxilla, anatomical characteristics make suction and retention difficult, which often results in poor denture stability.
In the mandible, tongue movement and the natural tendency for bone resorption
make it challenging to maintain stable denture positioning.
For these reasons, the patient experienced significant difficulties using the dentures made in Australia.
During the visit to our clinic in Korea, the patient wished to discuss treatment options
that would better suit both their current oral condition and their overseas living environment.
Implant Overdenture for Full-Arch Edentulism

CT imaging revealed areas in the maxilla where bone height was insufficient,
indicating that bone augmentation (bone grafting) would likely be required before implant placement.

This image shows a detailed analysis of the bone condition around the extraction sites,
including buccal and lingual bone width and the shape of the alveolar ridge.
Such data serve as essential reference points when establishing an implant treatment plan after extractions.

This view shows the analysis used to determine the optimal positions,
angulations, and depths for implant placement in both the maxilla
and mandible in a fully edentulous case.
In the maxilla, the location of the maxillary sinus is a key factor,
while in the mandible, the position of the inferior alveolar nerve canal is critical.
If the bone quality is insufficient,
bone grafting may be required to achieve stable implant placement.
Taking into account both the anatomical factors and the patient’s living situation abroad,
we compared two possible treatment options:
[Implant-Supported Bridge]
→ Certain areas in the maxilla would likely require bone augmentation,
which would affect treatment planning and the patient’s visit schedule.
[Implant Overdenture]
→ The maintenance and follow-up process is relatively straightforward,
making it more feasible for a patient who lives overseas.
Ultimately, considering that basic maintenance and adjustments
could be managed in Australia, the patient chose to proceed with the overdenture option.

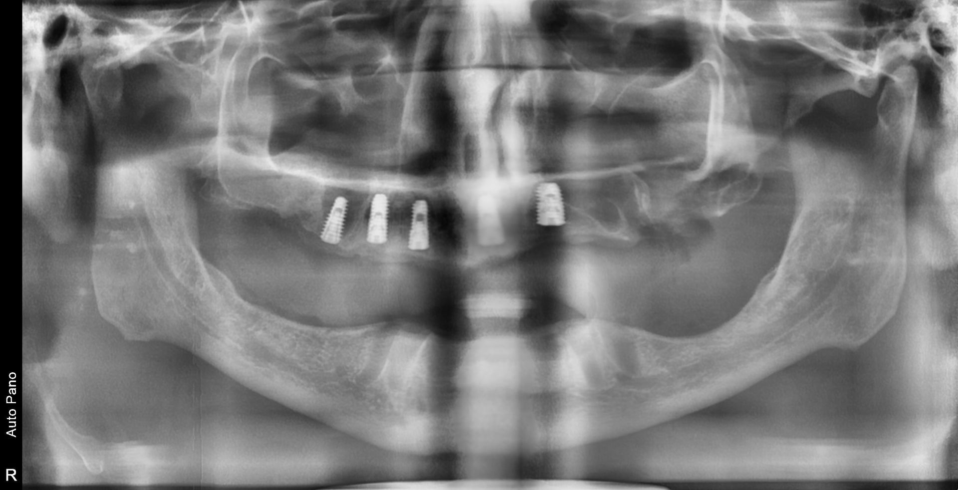
This image shows multiple implants placed in the maxilla.
Because the maxillary bone is relatively soft, achieving strong primary stability
at the time of placement is especially important.
Bone grafting was performed where necessary, and adequate healing
time was allowed afterward to ensure successful osseointegration.

This image shows the implants placed in the planned positions on both the right and left sides of the mandible.
Although the mandibular bone is denser than the maxillary bone, many areas lie close to the nerve canal, making careful selection of implant angulation and length essential.

Immediately after surgery, a temporary denture is used to maintain function and speech.
The inner surface of the denture is adjusted so that it does not put pressure
on the surgical sites, allowing the patient to minimize discomfort while maintaining appearance.

After osseointegration was completed,
the gums were reopened and healing abutments were connected.
※ Healing abutments help shape the soft tissue into a natural contour,
allowing the locator attachments to be positioned securely during the final prosthetic phase.

During the final prosthesis fabrication stage, facial analysis is also performed.

Photographs of the patient’s frontal view, profile, and smile are taken to evaluate facial contours,
the direction of tooth alignment, lip-to-tooth display, and the relationship with the occlusal plane.
These data serve as important references when designing the overdenture and
determining the appropriate tooth shape and arrangement.

This image shows the inside of the temporary denture being trimmed
sufficiently to prevent contact with the healing abutments.
If this step is not performed properly, it may lead to pain, inflammation, or even damage to the implants.

After sufficient healing, locator attachments are connected to the implants.
A locator serves as a replaceable retention device that connects the implants to the overdenture (the removable prosthesis).
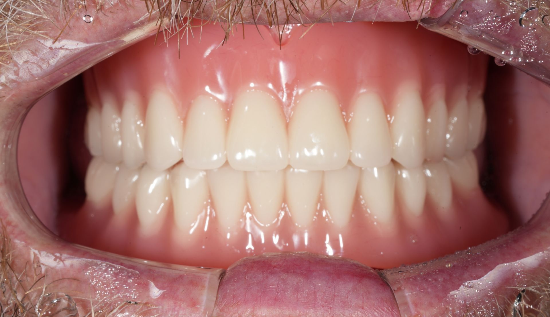
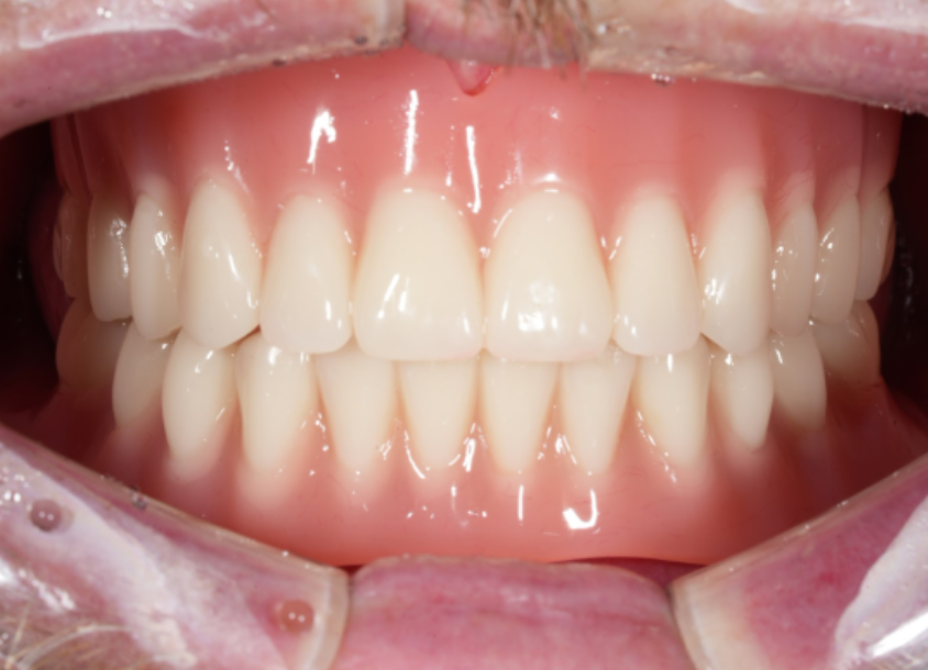
This image shows the completed overdenture in place.
In fully edentulous cases, the implant-supported overdenture structure allows the prosthesis to remain stable and resist movement,
providing significantly improved retention compared with conventional dentures.


Because an overdenture is supported by a locator system connected to implants,
it provides significantly better retention than conventional full dentures that rely solely on the gums.
This structure helps reduce movement during everyday chewing and speaking, improving overall function and comfort.
In addition, because the overdenture is removable, oral hygiene is easier to maintain,
and components such as retention caps can be replaced or the internal surface adjusted during regular check-ups.
For fully edentulous patients, the stability of the prosthesis often plays a crucial role in food choices, confidence, and social activities.
Thank you for taking the time to read this case.
Treatment Start Date: March 11, 2025
Treatment Completion Date: October 22, 2025
